Your basket is empty
Product successfully added to basket!



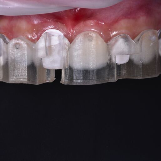
The DSD Direct Pressed product allows you to deliver the direct pressed composite technique. This Manufacture option includes the initial and final situation models, which are designed according to the DSD Ideal Design.In addition, we will manufacture a set of guides for inserting the composite in the mouth, a repair guide, and a guide to help in choosing the color will also be sent. The set also includes a dispenser to dose the exact amount of resin needed on each tooth.
Add this product if you wish for DSD Lab to manufacture the DSD Direct pressed kit.
03 business days + Shipping (DSD Clinics) / 05 business days + Shipping (DSD Members)
IMPORTANT: It’s mandatory to APPROVE the design of this product with DSD Planning Center so we can move forward with the manufacture.
Models: FormLabs Model resin
Direct Stents: Formlabs IBT (flexible) Resin
Dispenser : Formlabs Dental LT Resin
The manufactured DSD Direct Pressed stent printed product that we create from the .STL file of the DSD Direct Design.
The manufactured set of guides and dispenser.
The composite must be heated already inside the guide, submerged in water at 65 degrees Celsius for 3 minutes, inside an impermeable container.
We suggest the use of a vibrator used in orofacial harmonization to facilitate the resin flow and removal of excesses (not mandatory).
We suggest attending a DSD Course (DSD R2 or a specific hands-on course on the technique) before using it for the first time. This is not mandatory.
Yes. We need the DSD Direct Design to manufacture the DSD Direct Stents.